Владимирские врачи выполнили подростку уникальную операцию по коррекции стопы
- 9 декабря 2025
- Ольга Миронова

В Областном центре спецмедпомощи во Владимире хирурги успешно провели сложную операцию молодой пациентке с редким врожденным заболеванием — парциальным гигантизмом. Оно характеризуется быстрым и непропорциональным ростом отдельных частей тела, как правило, стоп или кистей рук.


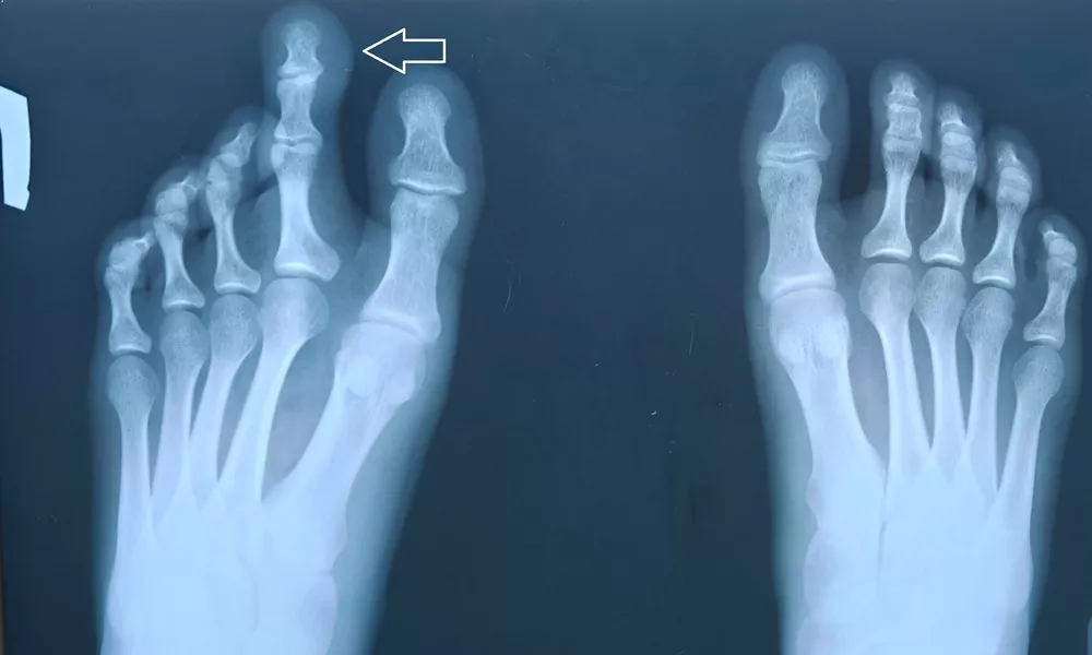
Как рассказали в пресс-службе центра, за помощью с такой проблемой обратилась 17-летняя девушка с сильным увеличением второго пальца на левой ноге. Помимо очевидного косметического дефекта она также не могла найти подходящую ей обувь. Травматолог-ортопед принял решение о необходимости хирургического вмешательства в этой ситуации.

В ходе операции бригада врачей выполнила реконструкцию пальца: укоротили костную фалангу и зафиксировали ее специальной спицей, а также удалили лишние мягкие ткани. Весь процесс прошел успешно и медикам удалось сформировать эстетически правильный и подвижный палец. Пациентка выразила огромную благодарность специалистам за возможность вести комфортную жизнь.

Накануне мы рассказывали, что владимирские врачи спасли проглотившего магниты годовалого младенца.